Products

HPV 16/18 Probe
Code : PR250-100E
CE IVD

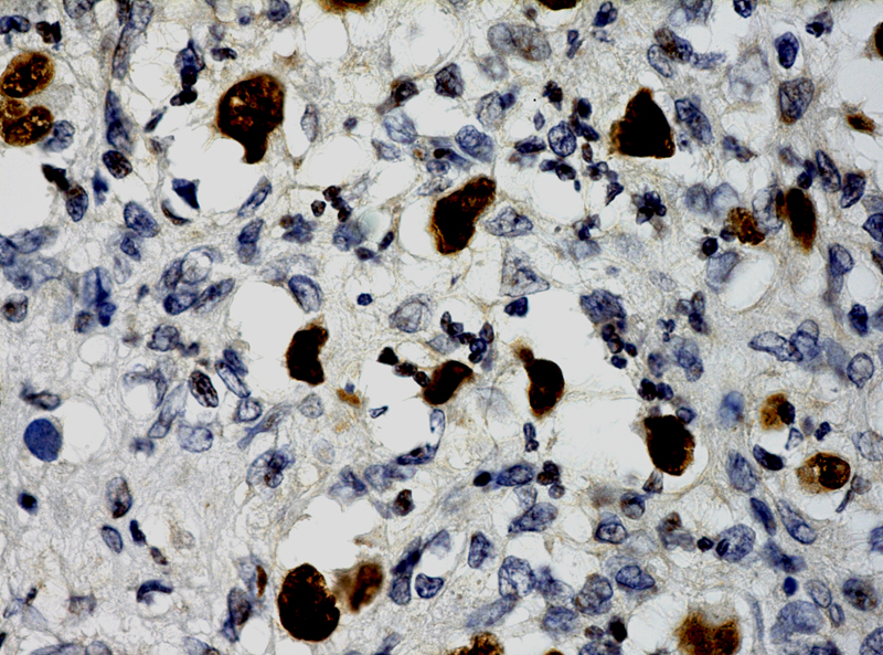
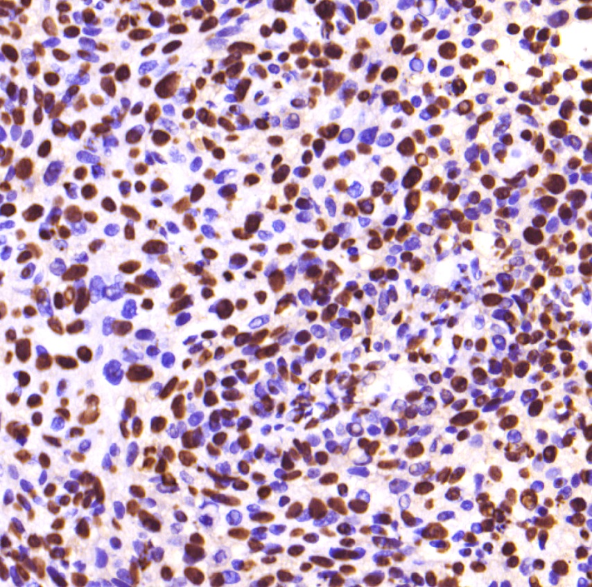
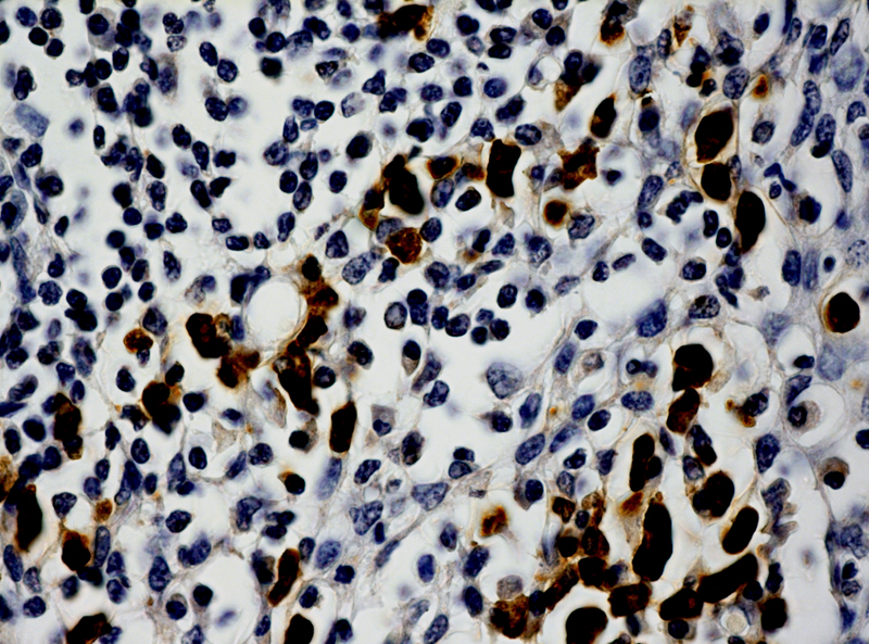
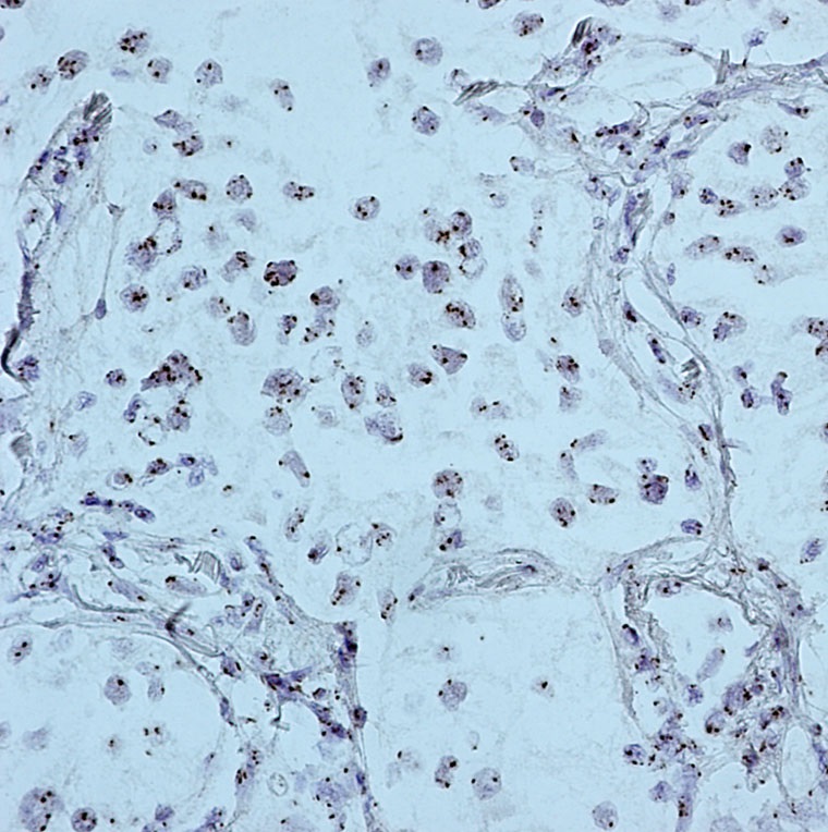
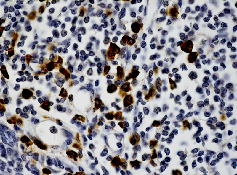
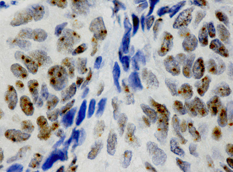
Human papillomaviruses (HPVs) induce a variety of proliferation lesions, leading to onset of squamous cell carcinoma (SCC) of the various tissues. HPV type 16 and 18 are responsible for about 70% of cervical cancer cases. We offers fluorescein labeled HPV probes for specific detection of HPV 16 and 18 genotype. The probes allow the localization of specific HPV viral DNA sequences in cultured cell lines,
cytopathology specimens, and FFPE tissue sections. It is the only method permitting detection of HPV viral DNA in a morphological context. Combined with the super sensitive ISH Detection systems, the probes offer reliable, highly sensitive and easy-to-perform assays.

25 Test
Application ISH
Host Rabbit
Documentation will be ready soon, in the meanwhile please feel free to contact us at specialist@histoline.com