Products

Hematoxylin Cole
Code : 01HEMCO500
CE IVD

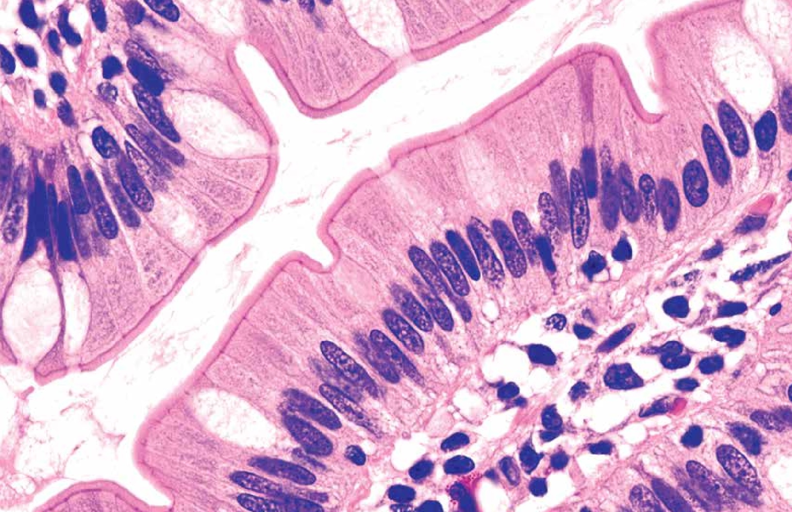
Hematoxylin COL is a formulation of hematoxylin used in histopathology for nuclear cell staining. It can be used instead of Hematoxylin M (Mayer’s Hematoxylin) Unlike Hematoxylin M (used only in progressive staining method), Hematoxylin COL is used in both progressive and regressive staining methods. Hematoxylin is extracted from logwood (Haematoxylon campechianum L.).

Hematoxylin oxidizes to hematein and binds with metal ions (mordants), hematein turns into irreplaceable nuclear color. Positively charged hematein-mordant complex then binds with negatively charged phosphate ions of the DNA’s nucleus, creating characteristic blue coloration. 

500 ml
Documentation will be ready soon, in the meanwhile please feel free to contact us at specialist@histoline.com