Products

ALK p80
Code : RP110-05
CE IVD

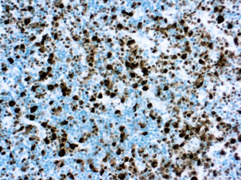
This antibody recognizes a human p80 protein, identified as a hybrid of the anaplastic lymphoma kinase (ALK) gene and the nucleophosmin (NPM) gene resulting from the t(2;5)(p23;q35) translocation found in 30-50% of CD30+ large cell lymphomas.

0.5ml
Clone Polyclonal Rabbit
Isotype n.a
Application IHC
Documentation will be ready soon, in the meanwhile please feel free to contact us at specialist@histoline.com