Products

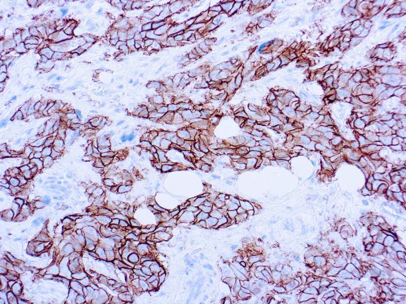
HER2/neu (c-erbB-2)
Code : RMPD008
CE IVD

This antibody recognizes a c-erbB-2 protein, which is a receptor tyrosine kinase of the c-erbB family. It is closely related in structure to the epidermal growth factor receptor. c-erbB-2 oncoprotein is detectable in a subset of breast and other adenocarcinomas, as well as transitional cell carcinomas. In the case of breast cancer, expression determined by immunohistochemistry has been shown to be associated with poor prognosis.

0.5ml
Clone SP3
Isotype IgG
Application IHC
Documentation will be ready soon, in the meanwhile please feel free to contact us at specialist@histoline.com