Products

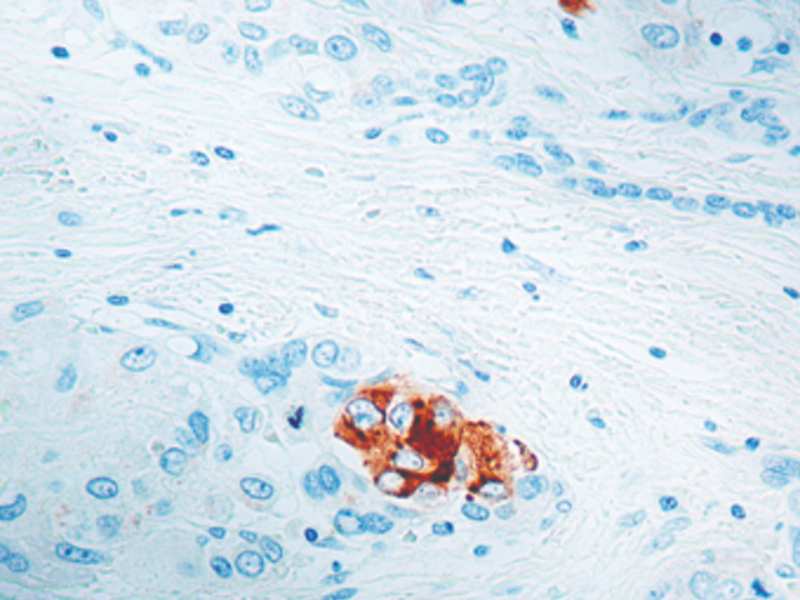
Alpha Fetoprotein
Code : PDM057
CE IVD

The yolk sac and the liver produce AFP during fetal life. AFP expression in adults is often associated with hepatoma or teratoma.

6 ml
Clone C3
Isotype IgG2a
Application IHC
Documentation will be ready soon, in the meanwhile please feel free to contact us at specialist@histoline.com