Products

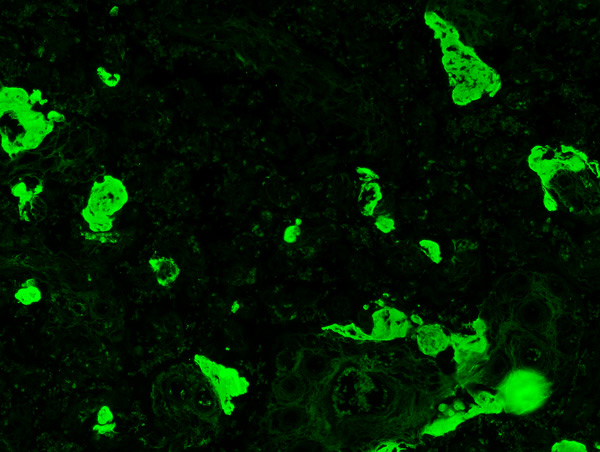
Fibrinogen-CF488
Code : FLC216
CE IVD

This MAb is specific to Fibrinogen, the precursor of fibrin, is the coagulable protein in the blood plasma of vertebrates. Following vascular injury, fibrinogen is cleaved by thrombin to form fibrin which is the most abundant component of blood clots. Fibrinogen consists as a dimer of 3 pairs of non-identical chains FGA, FGB, and FGG that are cross-linked by disulfide bonds in their N-terminal segments. The molecule has 2 terminal D domains and one central E domain, all three domains are separated when fibrinogen is degradated by plasmin. Mutations in this gene lead to several disorders, including dysfibrinogenemia, afibrinogenemia, and renal amyloidosis.

1 ml
Clone Polyclonal
Application IHC
Host Rabbit
Documentation will be ready soon, in the meanwhile please feel free to contact us at specialist@histoline.com