Products

Anti-SARS-CoV-2-Spike glycoprotein
Code : DB 279-0.5
CE IVD

The Severe Acute Respiratory Syndrome 2 virus (SARS-CoV-2) is a betacoronavirus first isolated in Wuhan, China, in late 2019. The virus has a 29.8 kbp genome, encoding the membrane, envelope, nucleocapsid, and spike glycoprotein. 

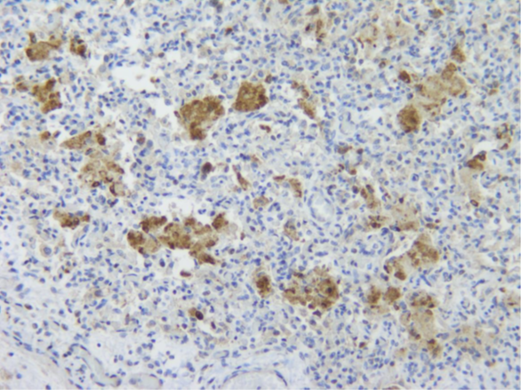
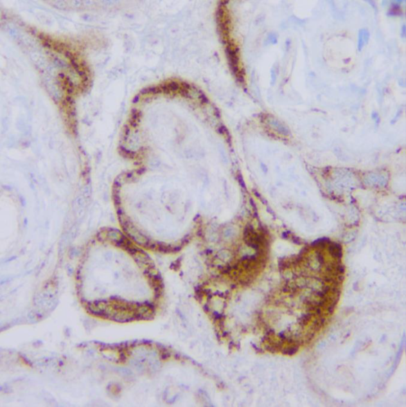
Peptide derived from C-terminal sequence of SARS-CoV2 spike glycoprotein. Antibody recognizes the epitope between Leu1145 – His1159.

Cellular localization: cytoplasm
Positive control: infected lung, placenta

0.5 ml
Clone Q25-L
Isotype IgG1
Application IHC
Documentation will be ready soon, in the meanwhile please feel free to contact us at specialist@histoline.com