Products

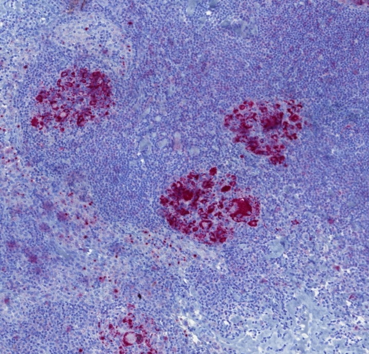
Anti PD-L1 (PDL1)
Code : DB 241- RTU-7
CE IVD

The PD-L1 antibody is used to evaluate expression of PD-L1 protein in tumor cells and tumor infiltrating immune cells.

PD-L1 expression may lead to inhibition of activated T cells and therefore, can indicate tumor immune evasion.

This assay is highly specific, reproducible and designed to enhance visual contrast of immune cell staining within the tumor microenvironment.

CE marked.

7 ml
Clone Y19-I
Isotype IgG1
Application IHC
Host Rabbit
Documentation will be ready soon, in the meanwhile please feel free to contact us at specialist@histoline.com