Products

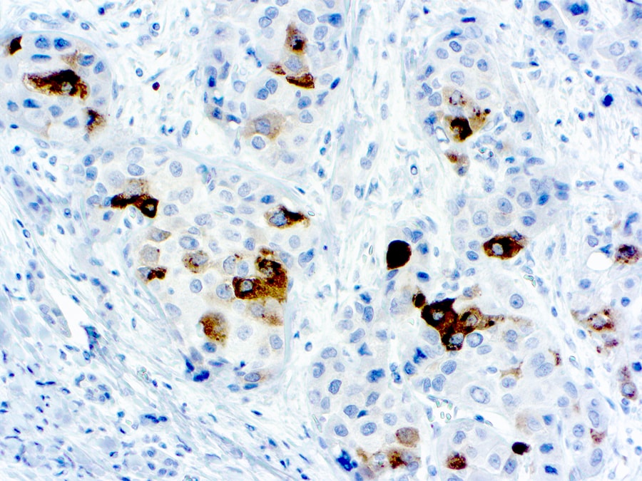
Alpha1-Fetoprotein (AFP)
Code : A20058
CE IVD

Species: Rabbit Polyclonal
Clone: Polyclonal
Species Reactivity: Human

Specificity: This antibody reacts with alpha-1-fetoprotein. A positive staining in the hepatocytes of fetal tissue was observed. This antibody does not react with other cell or tissue types.

2 ml
Clone Polyclonal
Application IHC
Documentation will be ready soon, in the meanwhile please feel free to contact us at specialist@histoline.com