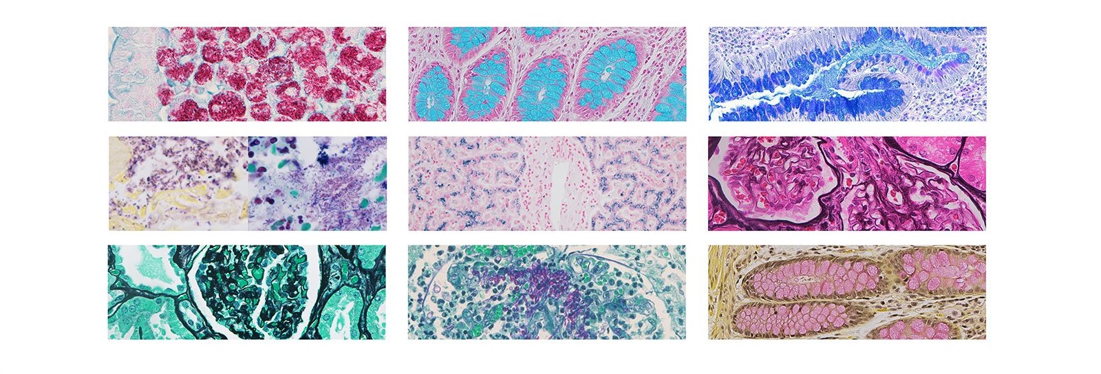
Four-reagent muscle and collagen fiber staining kit
Ladewig's Trichrome kit is used for staining histology sections, with emphasis on muscle and collagen tissue differential counterstaining. The staining procedure is shorter and simpler compared to other Trichrome kits (Masson and Mallory) because during incubation performed only with the Ladewig's reagent all the target structures are being stained at the same time. Ladewig's reagent contains Aniline blue dye that binds to collagen enabling characteristic blue coloration; Acid Fuchsin stains contrasting structures red, and Orange G stains erythrocytes.
Result
Cytoplasm - red
Nuclei - brown to black
Muscle fibers - brown to red
Collagen - red to purple
Erythrocytes - orange
Resources

1 Kit - 100 Test
Documentation will be ready soon, in the meanwhile please feel free to contact us at specialist@histoline.com