Products

Afog solution
Code : 01AFOG100
CE IVD

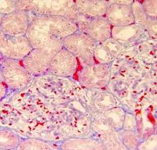
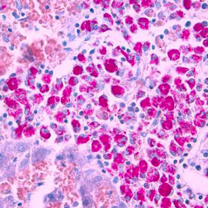
Reference method for staining protein deposits in kidney biopsy.

6x100 ml
Documentation will be ready soon, in the meanwhile please feel free to contact us at specialist@histoline.com