Prodotto

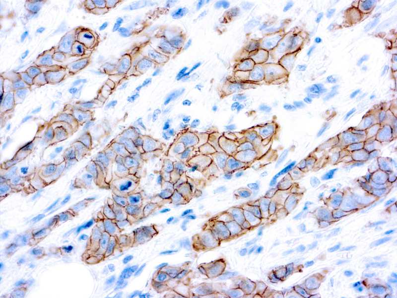
HER2/neu (c-erbB-2)
Codice : RP006-05
CE IVD

This antibody reacts with the c-erbB-2 oncoprotein, a 190 kDa protein. The proto-oncogene for c-erbB-2 is located on the human chromosome 17, band 21. It has structural similarities to EGFR. Several studies have indicated that c-erbB-2 may be a good indicator of the prognosis of human carcinomas in the breast, ovary, uterus and gastrointestinal tract.

0.5ml
Clone Polyclonal Rabbit
Isotype n.a
Application IHC
La documentazione sarà disponibile a breve, nel frattempo potete contattarci via mail a specialist@histoline.com