Kit a tre reagenti per la colorazione di fibre collagene, tessuto muscolare, epitelio cheratinizzato, citoplasma, fibre gliali ed eritrociti.
Utilizzato per la differenziazione tra fibre collagene e fibre lisce nei tumori e in varie altre patologie.
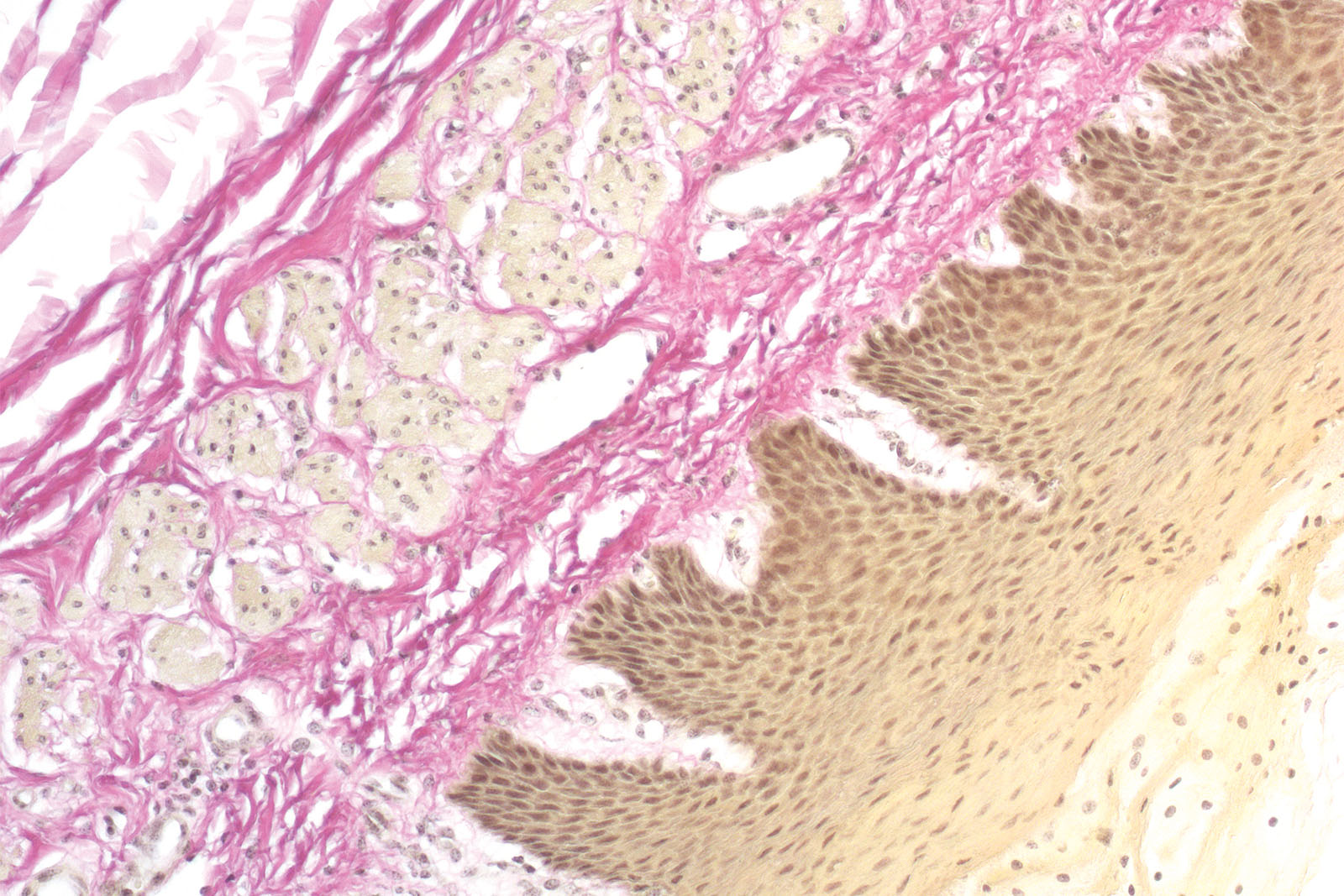
Il kit Van Gieson tricromica è utilizzato per la colorazione di collagene, tessuto muscolare, epitelio cheratinizzato, citoplasma, fibre gliali ed eritrociti. La fucsina acida Van Gieson è un componente del kit e contiene due coloranti (fucsina acida e acido picrico) che colorano contemporaneamente diverse strutture tissutali. La fucsina acida colora di rosso intenso le fibre di collagene, mentre l'acido picrico colora di giallo le fibre muscolari, gli eritrociti e le fibre gliali. Amiloidi, ialina, colloide e mucosa sono colorati con sfumature tra il rosso e il giallo. L'ematossilina, il Weigert A e il reagente ferrico costituiscono l'ematossilina Weigert che crea una colorazione stabile dei nuclei cellulari.
Risultati
Blu-marrone - nuclei
Rosso - collagene
Giallo - fibra muscolare, fibre gliali
Tonalità tra giallo e rosso - epitelio colloidale, mucoso, ialino, amiloide, cheratinizzato
Risorse
