Prodotto

OG-EA50 Soluzione colorante - Papanicolaou
Codice : 01OGEA50500
CE IVD

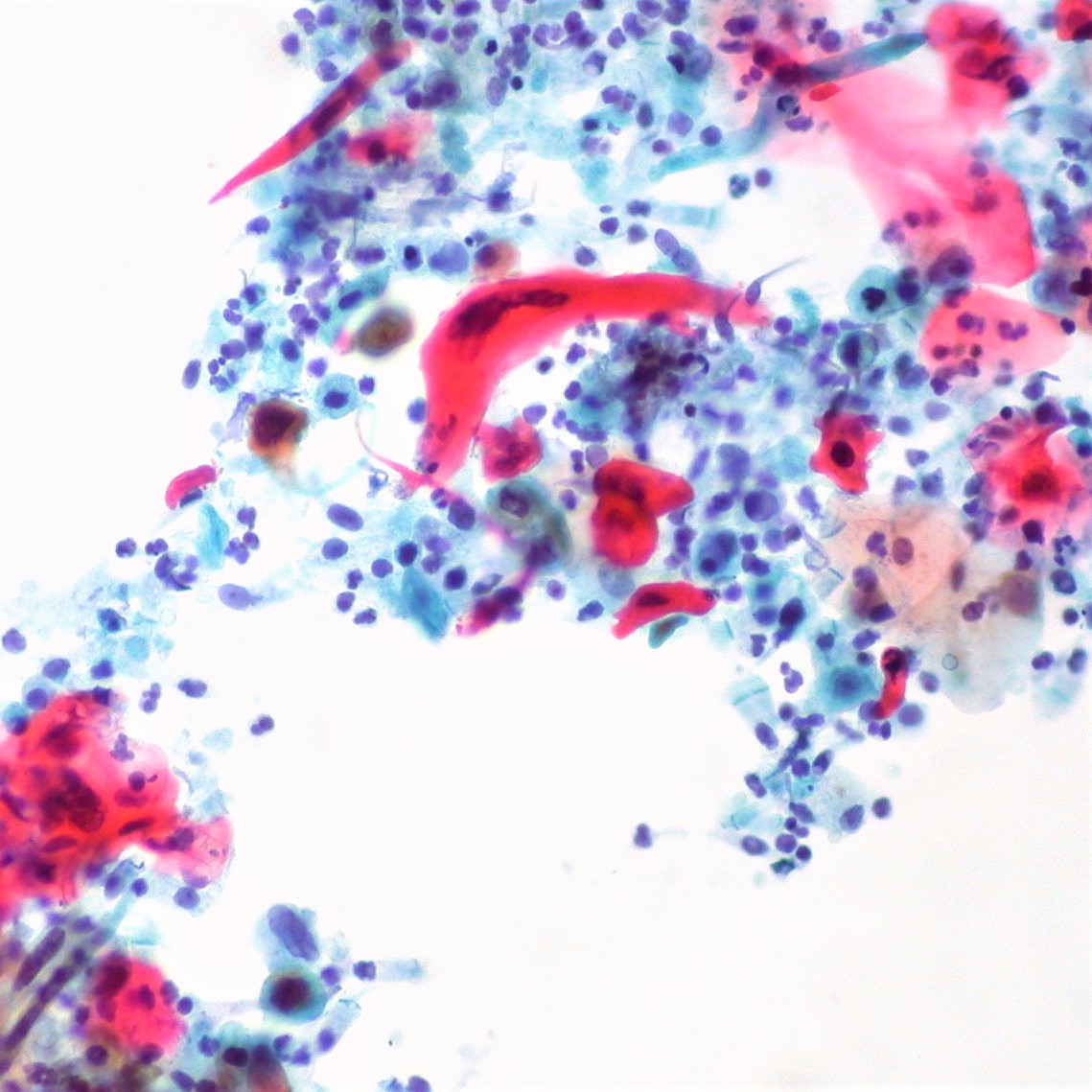
Il reagente OG-EA50 Pap è una soluzione policromatica alcolica. Il primo passaggio nell'utilizzo del metodo di colorazione Papanicolaou implica la colorazione nucleare con una soluzione di ematossilina e i due passaggi successivi consistono nella colorazione di contrasto utilizzando il reagente OG-6 monocromatico e una delle formulazioni del reagente EA policromatico.

Il reagente Pap OG-EA50 non richiede tre, ma due passaggi perché contiene i reagenti OG-6 e EA50. La molecola Orange G colora il citoplasma e nelle fasi successive della procedura rimane solo nelle cellule mature e cheratinizzate. La soluzione policromatica EA50 colora le parti non colorate della cellula, come cellule squamose, nucleoli, ciliari ed eritrociti. I campioni del test possono essere ginecologici e non ginecologici, come espettorato, urina e campioni di puntura citologica. Per ottenere risultati di colorazione ottimali, il reagente OG-EA50 Pap ha proprietà completamente conformi ad altri reagenti per lo striscio citologico acc. a Papanicolaou – Ematossilina HP, reagente Pap 1A e Ematossilina HP, reagente Pap 1B.

 

500 ml
La documentazione sarà disponibile a breve, nel frattempo potete contattarci via mail a specialist@histoline.com