Alcian blu pH 1 - kit
Kit a tre reagenti per la colorazione di mucopolisaccaridi fortemente solfati.
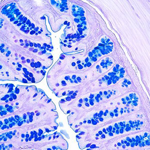
Il colorante Alcian Blue è usato per dimostrare il glicosaminoglicano nelle mucine, per la colorazione di amiloidi, cisteine e per la colorazione policromatica dei mastociti secondo Alcian-Blue Safranin. Viene anche utilizzato per determinare le specie batteriche e rilevare le capsule batteriche. Il kit Alcian Blue pH 1.0 consente un'adeguata colorazione e visualizzazione di mucopolisaccaridi fortemente solfati senza colorare le mucine acide carbossilate o le mucine neutre. I nuclei cellulari sono colorati di rosso usando una controcolorazione.
Risorse

1 Kit - 100 Test
Per accedere a queste informazioni per favore effettua il login o registrati