Prodotto

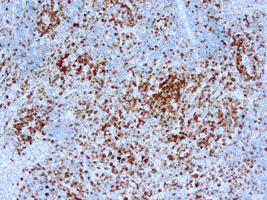
Anaplastic Lymphoma Kinase (ALK) p80 (5A4)
Codice : MOB416
CE IVD

Anaplastic large cell lymphoma (ALCL) is usually composed of large pleomorphic cells, which express CD30 antigen and the epithelial membrane antigen (EMA).

1ml
Clone 5A4
Isotype IgG1
Application IHC
La documentazione sarà disponibile a breve, nel frattempo potete contattarci via mail a specialist@histoline.com