Prodotto

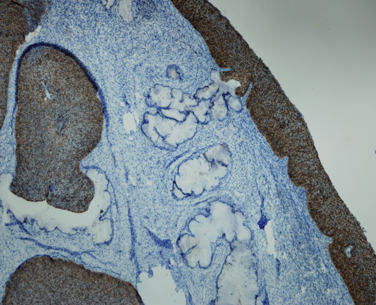
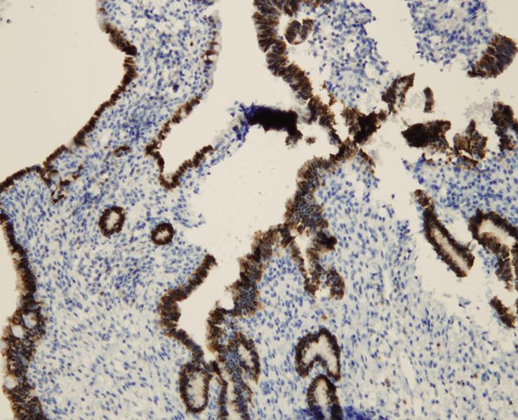
p16 Rabbit monoclonal antibody
Codice : DB 253-RTU-7
CE IVD

Clone: R15-A

Buffer: 20 mM Tris-HCl, pH 8.0

Stabilizer: 20 mg/ml BSA

Protein accesion number / Uniprot: P42771

Preservative: 0.05% NaN3

Specificity: Human

Immunogen: Peptide derived from C-terminal sequence of human p16

Application: IHC-P, dilution 1:100

7 ml
Clone R15-A
Application IHC
Host Rabbit
La documentazione sarà disponibile a breve, nel frattempo potete contattarci via mail a specialist@histoline.com