Prodotto

Blu di toluidina soluzione
Codice : 01TB100
CE IVD

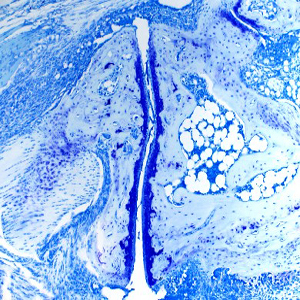
Blu di toluidina, la soluzione viene spesso utilizzata per la colorazione metacromatica (caratteristica per i coloranti cationici o basici) che dipende in parte dal livello di pH, colorante
concentrazione e temperatura. Durante la colorazione, i coloranti blu o viola mostrano uno spostamento in rosso, mentre i coloranti rossi mostrano uno spostamento in giallo sul metacromatico
elementi tissutali.

La colorazione metacromatica è tipica per mucopolisaccaridi (soprattutto per quelli con numerosi gruppi solfati), cartilagine, cilindrica cellule e granuli di mastociti.

100 ml
Per accedere a queste informazioni per favore effettua il login o registrati