Prodotto

Rosso Congo soluzione
Codice : 01CR100
CE IVD

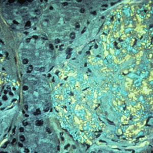
Il reagente Rosso Congo è un componente principale del kit Rosso Congo Highman. Questo kit viene utilizzato per la colorazione degli amiloidi (cluster amorfi). I depositi di amiloide sono colorati in modo caratteristico di rosso, ma sotto luce polarizzata mostrano una doppia rifrazione e forniscono una colorazione verde.

100 ml
Per accedere a queste informazioni per favore effettua il login o registrati