Produit

p40
Code : RP163-05
CE IVD

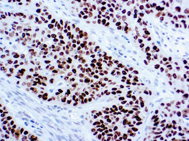
p40 is a relatively unknown antibody that recognizes ?Np63-a p63 isoform suggested to be highly specific for squamous/basal cells. In a recent study, p40 is equivalent to p63 in sensitivity for squamous cell carcinoma, but it is markedly superior to p63 in specificity1, which eliminates a potential pitfall of misinterpreting a p63-positive adenocarcinoma or unsuspected lymphoma as squamous cell carcinoma. These findings strongly support the routine use of p40 in place of p63 for the diagnosis of

0.5 ml
Clone Polyclonal Rabbit
Isotype n.a
Application IHC
La documentation sera disponible sous peu. En attendant, vous pouvez nous contacter par email à l'adresse specialist@histoline.com