Produit

HER2/neu (c-erbB-2)
Code : RMAB008
CE IVD

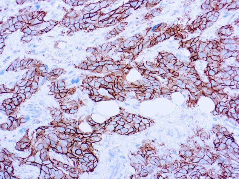
This antibody recognizes a c-erbB-2 protein, which is a receptor tyrosine kinase of the c-erbB family. It is closely related in structure to the epidermal growth factor receptor. c-erbB-2 oncoprotein is detectable in a subset of breast and other adenocarcinomas, as well as transitional cell carcinomas. In the case of breast cancer, expression determined by immunohistochemistry has been shown to be associated with poor prognosis.

0.5ml
Clone SP3
Isotype IgG
Application IHC
La documentation sera disponible sous peu. En attendant, vous pouvez nous contacter par email à l'adresse specialist@histoline.com