Produit

ALK/p80
Code : Mob566-05
CE IVD

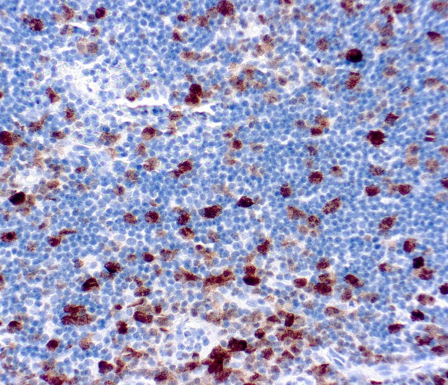
ALK (p80) antibody binds to a 200 kDa transmembrane molecule expressed only in neural tissues. This protein is known as anaplastic lymphoma kinase (ALK) and the antibody detects the formalin-resistant epitope of native ALK.
The ALK antibody reacts with normal ALK protein, as well as with the chimeric protein ALK-NPM.
Anti-ALK specifically labels t(2;5)-positive cells giving strong cytoplasmic staining that is also associated with nuclear staining. Anaplastic large cell lymphoma (ALCL) is a heterogeneous group of diseases by morphology,
immunophenotyping and clinical presentation. It can be difficult to diagnose because of its similarity to Hodgkin's lymphoma. However, treatment and prognosis of Hodgkin's and ALCL is very different, and it is imperative to diagnose correctly.

0,5 ml
Clone 4A4
Application IHC
La documentation sera disponible sous peu. En attendant, vous pouvez nous contacter par email à l'adresse specialist@histoline.com