Produit

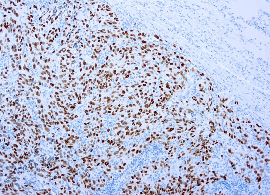
SOX-10
Code : Mob565-05
CE IVD

SOX-10, a member of the sex-determining region Y-related HMG-box family, is a transcription factor that is expressed in pre-migratory and migrating neural crest cells. Following migration it remains expressed in cells destined for glial, schwannian, and melanocytic differentiation. SOX10 is widely expressed in normal human tissues including melanocytes and breast tissue. SOX10 is also an important marker in malignant tumors such as melanoma, and breast carcinomas of basal-like and triple negative type, gliomas, and benign tumors such as schwannomas.

0,5 ml
Clone 20B7
Application IHC
Host Rabbit
La documentation sera disponible sous peu. En attendant, vous pouvez nous contacter par email à l'adresse specialist@histoline.com