Produit

Podoplanin (D2-40)
Code : Mob558
CE IVD

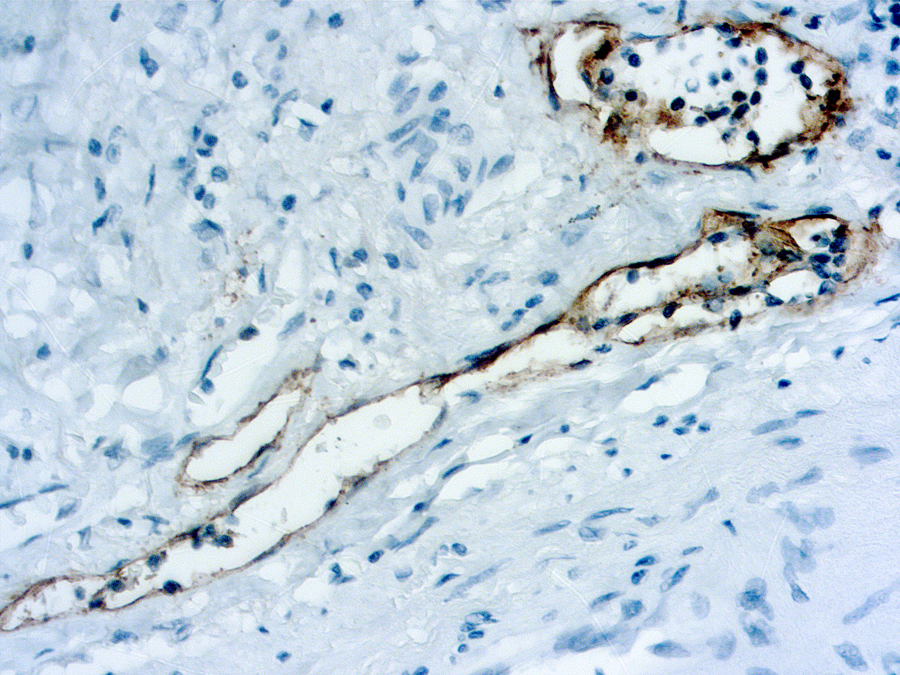
Podoplanin is a 38kDa membrane mucoprotein originally detected on the surface of rat podocytes .The antibody against podoplanin (D2-40) reacts to a 40 kDA sialogylcoprotein found on lymphatic endothelium, fetal testis, and on the surface of testicular germ cell tumors. (1) Podoplanin can be used to assist pathologists in identifying lymphatic endothelium to determine lymphatic invasion (2) and also can be used to help differentiate mesothelioma from adenocarcinoma.

1 ml
Clone D2-40
Isotype IgG1, kappa
Application IHC
Host Mouse
La documentation sera disponible sous peu. En attendant, vous pouvez nous contacter par email à l'adresse specialist@histoline.com