Produit

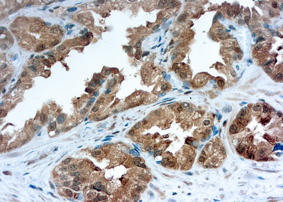
Galectin-3(H-5)
Code : Mob541-01
CE IVD

Galectin-3 shows strong diffuse cytoplasmic staining in most cases of papillary thyroid carcinoma (PTC), most poorly differentiated thyroid cancers demonstrate galectin-3 protein expression while it is not expressed in anaplastic thyroid cancers. (1) Upregulated expression of galectin-3 is involved in cancer progression and metastasis, and it is suggested that Galectin-3 may be a valuable tool to support diagnosis of parathyroid carcinoma.

0,1 ml
Clone H-5
Isotype IgG2a, kappa
Application IHC
Host Mouse
La documentation sera disponible sous peu. En attendant, vous pouvez nous contacter par email à l'adresse specialist@histoline.com