Produit

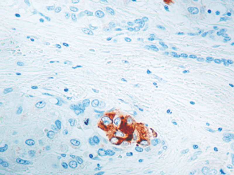
Alpha Fetoprotein
Code : MOB129-05
CE IVD

The yolk sac and the liver produce AFP during fetal life. AFP expression in adults is often associated with hepatoma or teratoma.

0.5ml
Clone C3
Isotype IgG2a
Application IHC
La documentation sera disponible sous peu. En attendant, vous pouvez nous contacter par email à l'adresse specialist@histoline.com