Produit

Perma Red/HRP
Code : K075-110

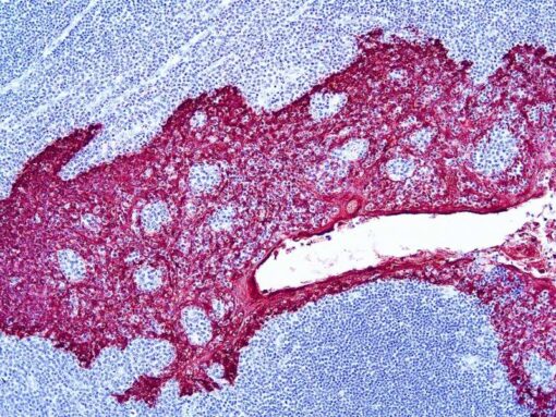
PermaRed/HRP is a substrate-chromogen system designed to be used for either IHC or ISH when utilizing horseradish peroxidase. PermaRed/HRP produces a distinct brick red stain that can easily be distinguished from other stains.

110 ml
La documentation sera disponible sous peu. En attendant, vous pouvez nous contacter par email à l'adresse specialist@histoline.com