Produit

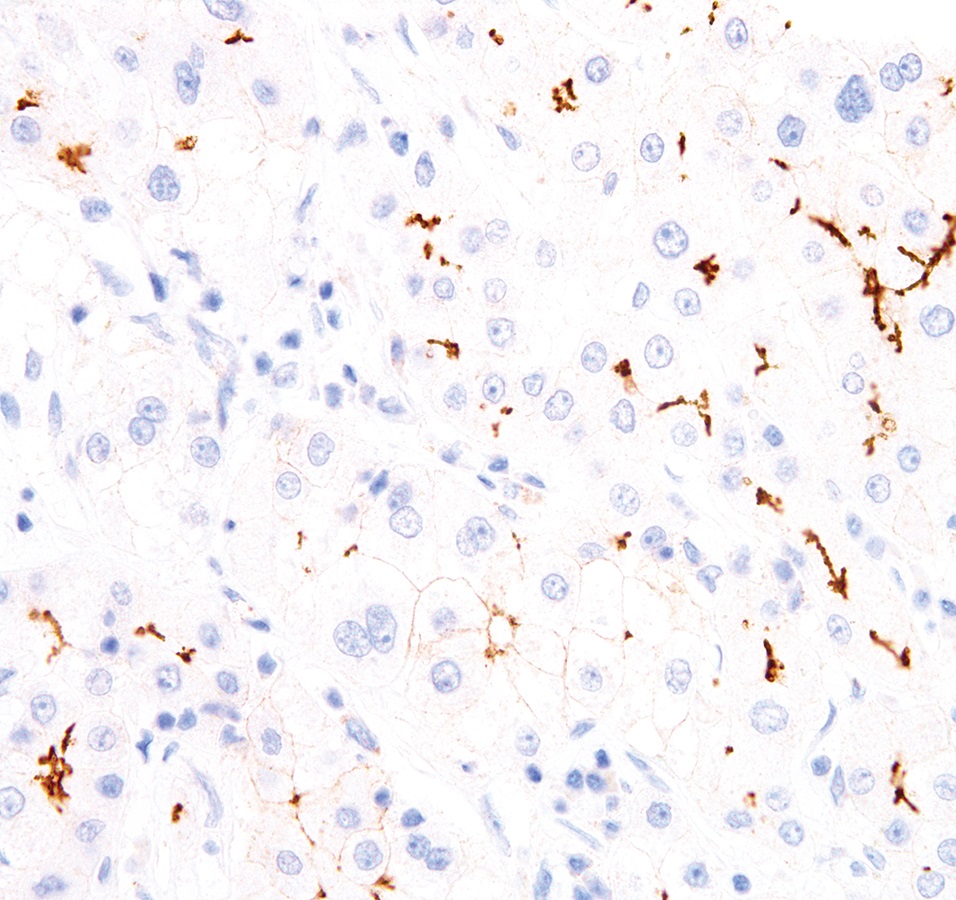
BSEP - Bile Salt Export Pump
Code : IHC518-100
CE IVD

Bile Salt Export Pump (BSEP) is a member of the ATP-binding cassette (ABC) transporters, which mediates the transport of bile acid, taurocholate and other cholate conjugates across the hepatocyte canalicular membrane into the canaliculus. BSEP is associated with progressive familial intrahepatic cholestasis type 2 (PFIC2) and benign recurrent intrahepatic cholestasis type 2 (BRIC2). PFIC2 caused by mutations in the BSEP gene increases the risk of hepatocellular carcinoma in early life.

0,1 ml
Clone IHC518
Application IHC
Host Mouse
La documentation sera disponible sous peu. En attendant, vous pouvez nous contacter par email à l'adresse specialist@histoline.com