Produit

Bcl-6; Clone PG-B6p
Code : A00077
CE IVD

Species: Mouse Monoclonal
Clone: PG-B6p
Isotype: IgG1, kappa
Species Reactivity: Human, rabbit, rat, swine, calf, and lamb.
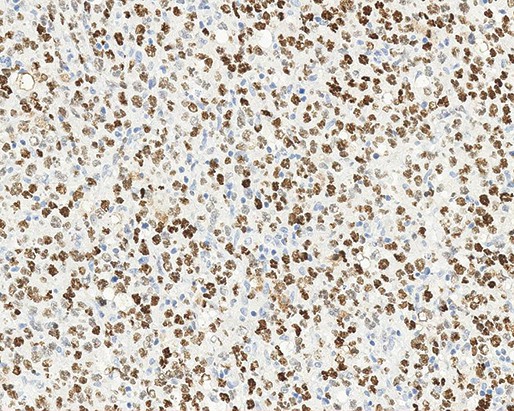
Positive Control: Tonsil
Cellular Localization: Nuclear

Specificity: In normal tonsil the antibody reacts with the nuclei of centroblasts and centrocytes in germinal centers. No reactivity is observed with other germinal center cells, e.g. plasma cells, macrophages, or follicular dendritic cells. Approximately 10% of germinal center T cells are stained with the antibody. The staining pattern of normal spleen B and T cell compartments are similar to that of tonsil. A faint nuclear staining is observed in squamous epithelia in the tonsil, thymus, and skin. In tumor cells the antibody shows strong nuclear labelling of Bcl-6 protein in follicular lymphomas, diffuse large B cell lymphomas, Bufkitt’s lymphomas, and nodular, lymphocyte-predominant Hodgkin’s disease.

6 ml
Clone PG-B6p
Isotype IgG1, kappa
Application IHC
La documentation sera disponible sous peu. En attendant, vous pouvez nous contacter par email à l'adresse specialist@histoline.com