Produit

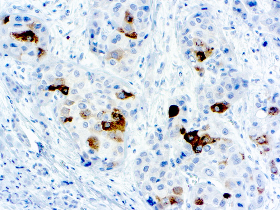
Alpha1-Fetoprotein (AFP)
Code : A00058
CE IVD

Species: Rabbit Polyclonal
Clone: Polyclonal
Species Reactivity: Human

Specificity: This antibody reacts with alpha-1-fetoprotein. A positive staining in the hepatocytes of fetal tissue was observed. This antibody does not react with other cell or tissue types.

6 ml
Clone Polyclonal
Application IHC
La documentation sera disponible sous peu. En attendant, vous pouvez nous contacter par email à l'adresse specialist@histoline.com