Produit

Warthin-Starry - kit
Code : 01WS12T
CE IVD

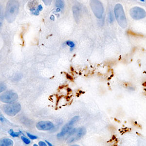
Five-reagent kit for staining Spirochaeta and Helicobacter pylori.

The kit contains 12 jars with gelatin that enables both incubation and staining of sections, as well as other reagents that enable precipitation of silver on the bacterial surface.

Contact us for larger packaging.

1 Kit - 48 Test
La documentation sera disponible sous peu. En attendant, vous pouvez nous contacter par email à l'adresse specialist@histoline.com