Produit

Réticuline (imprégnation d'argent) - KIT
Code : 01RE100T
CE IVD

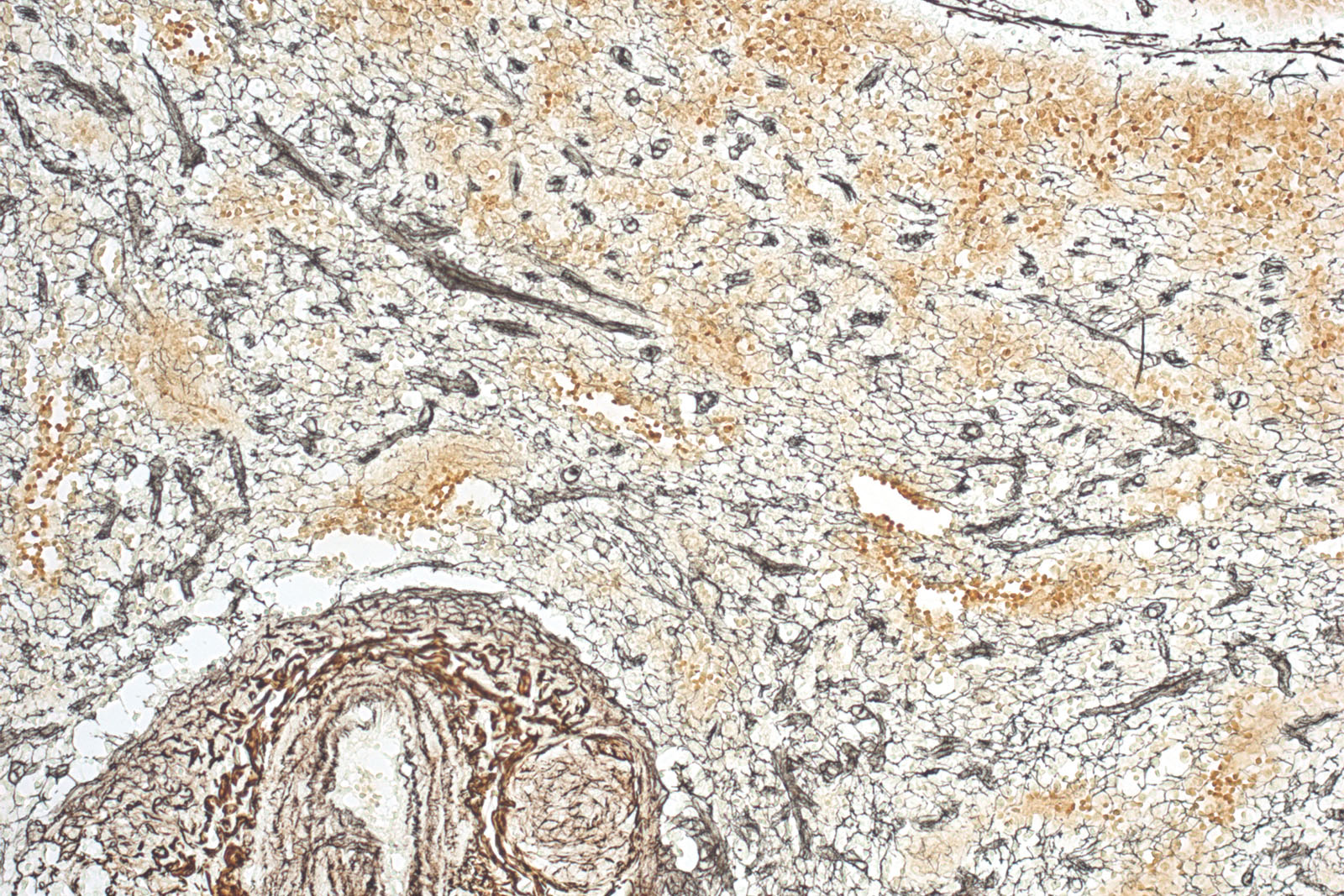
Le kit de réticuline est utilisé pour l'identification et la visualisation plus facile des fibres réticulaires d'argentaffine dans le tissu conjonctif.

La réticuline a une fonction de soutien dans le corps, on la trouve dans le foie, la rate et les reins.

Les fibres de réticuline sont clairement définies avec un foie sain ; le foie nécrotique et cirrhotique a des fibres discontinues. Le test est basé sur des dépôts d'argent sur des fibres de réticuline.

L'échantillon de tissu doit être oxydé avec du permanganate de potassium. L'argent est formé à partir d'une solution d'ammoniac contenant du nitrate d'argent et se dépose sous forme de sédiment brun sur des fibres de réticuline. Le formol agit comme agent réducteur et accélère la procédure. L'argent non lié est lavé et éliminé à l'aide de thiosulfate de sodium.

1 Kit - 100 Test
La documentation sera disponible sous peu. En attendant, vous pouvez nous contacter par email à l'adresse specialist@histoline.com