Produit

Mucicarmine acc. Mayer - kit
Code : 01MUC100T
CE IVD

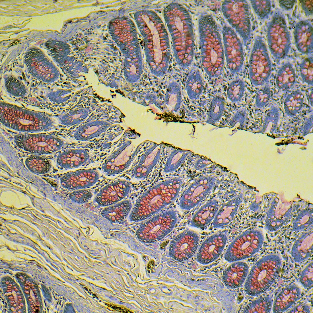
Four reagent kit for the detection of mucopolysaccharides of epithelial nature (mucine) according to Mayer.

The use of Mucicarminio is of fundamental specificity, in fact the mucins derived from fibrillas are generally weakly highlighted.

Also used for the diagnosis of adenocarcinoma.

1 Kit - 100 Test
La documentation sera disponible sous peu. En attendant, vous pouvez nous contacter par email à l'adresse specialist@histoline.com