Produit

Afog - Kit
Code : 01AFOG100T
CE IVD

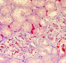
Six-reagent Acid Fuchsin Orange G kit for selective staining of glomerular protein deposits and collagen in kidney biopsies.

1 Kit - 100 Test
La documentation sera disponible sous peu. En attendant, vous pouvez nous contacter par email à l'adresse specialist@histoline.com