Producto

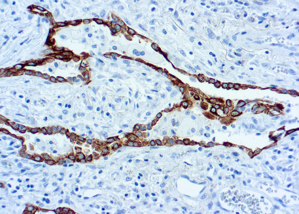
Cytokeratin 7 (LP1K)
Code : PDM563
CE IVD

Cytokeratins comprise a diverse group of intermediate filament proteins (IFPs) that are expressed as pairs in both keratinized and non-keratinized epithelial tissue, where they constitute up to 85% of mature keratinocytes in the vertebrate epidermis. Cytokeratin 7 is expressed in epithelial cells of ovary, lung and breast. It is often used in conjunction with cytokeratin 20 and CDX-2 in distinguishing pulmonary, ovarian and breast carcinomas (CK7+) from most colon carcinomas (CK7-).

6 ml
Clone LP1K
Isotype IgG1
Application IHC
Host Mouse
La documentación estará disponible en breve, mientras tanto, puede contactarnos por correo electrónico a specialist@histoline.com