Producto

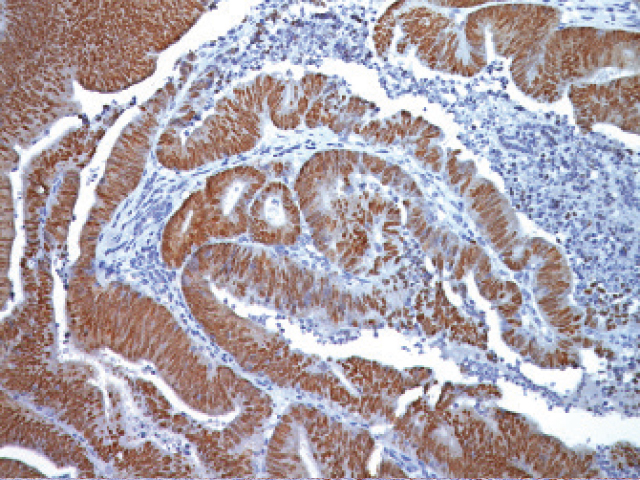
CDX2
Code : PDM187
CE IVD

The CDX-2 protein is expressed in primary and metastatic colorectal carcinomas, intestinal metaplasia of the stomach and intestinal type gastric cancer. In human colorectal cancer, the expression of both CDX2 and carbonic anhydrase 1, a gene regulated by CDX2, is reduced or absent. CDX-2 is one of the important regulators in defining pathways for coordinate control of drug metabolism in the gastrointestinal tract.

6 ml
Clone AMT28
Isotype IgG1
Application IHC
Host Mouse
La documentación estará disponible en breve, mientras tanto, puede contactarnos por correo electrónico a specialist@histoline.com