Producto

Uroplakin III (AU1)
Code : Mob594
CE IVD

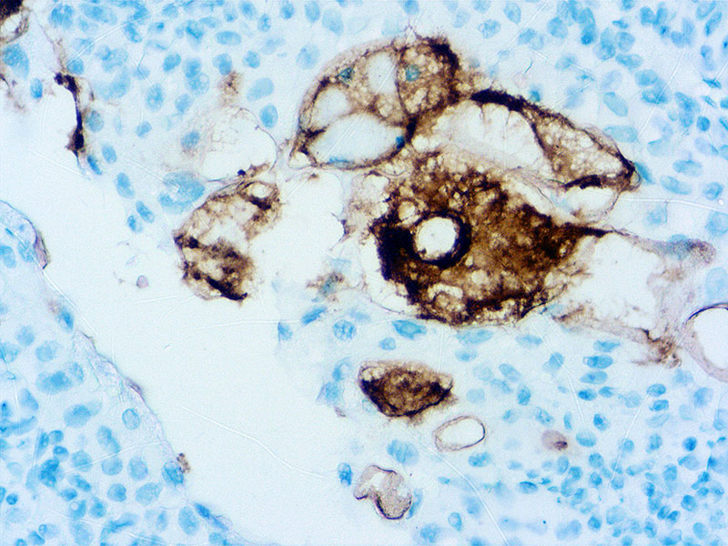
Uroplakins (UPs) are a family of transmembrane proteins (UPs Ia, Ib, II and III) that are specific differentiation products of urothelial cells. In non-neoplastic mammalian urothelium, UPs are expressed in the luminal surface plasmalemma of superficial (umbrella) cells, forming complexes of 16nm crystalline particles. UPIII is specific for tumors of urothelial origin and, when used in combination with other markers, can aid in the diagnosis of primary and metastatic tumors.

1 ml
Clone AU1
Isotype IgG1
Application IHC
La documentación estará disponible en breve, mientras tanto, puede contactarnos por correo electrónico a specialist@histoline.com