Producto

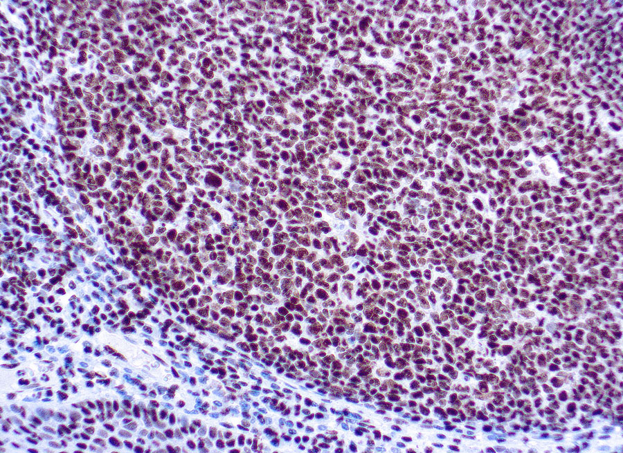
Ku (p70)
Code : Mob557-01
CE IVD

This antibody reacts with a 70 kD protein known as Ku (p70).The Ku protein is localized in the nucleus and is composed of subunits referred to as Ku-70 (or p70) and Ku-86 or (p86). Both subunits of the Ku protein have been cloned, and a number of functions have been proposed for Ku, including cell signaling, DNA replication and transcriptional activation. Ku is involved in Pol II-directed transcription by virtue of its DNA binding activity, serving as the regulatory component of the DNA-associated protein kinase that phosphorylates Pol II and transcription factor Sp.

0,1 ml
Clone H-6
Isotype IgG1
Application IHC
Host Mouse
La documentación estará disponible en breve, mientras tanto, puede contactarnos por correo electrónico a specialist@histoline.com