Producto

Napsin A
Code : MOB463
CE IVD

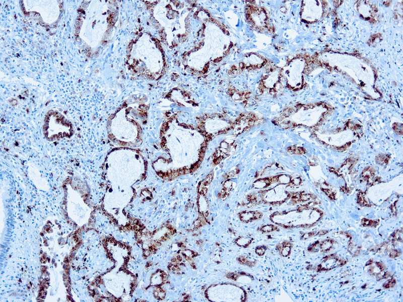
Napsin is found in two isoforms, A and B, with highly homologous gene sequences. Napsin A has a molecular weight of 35.0 kDa and is also known as TA02. Napsin A is an aspartic proteinase which is expressed in the lung and involved in processing surfactant protein B (SP-B). It is also expressed in the kidney. This antibody may be a useful tool as a tumor marker for primary lung adenocarcinoma. Napsin expression correlates with the differentiation grade of lung adenocarcinoma.

1ml
Clone KCG1.1
Isotype IgG1
Application IHC
La documentación estará disponible en breve, mientras tanto, puede contactarnos por correo electrónico a specialist@histoline.com