Producto

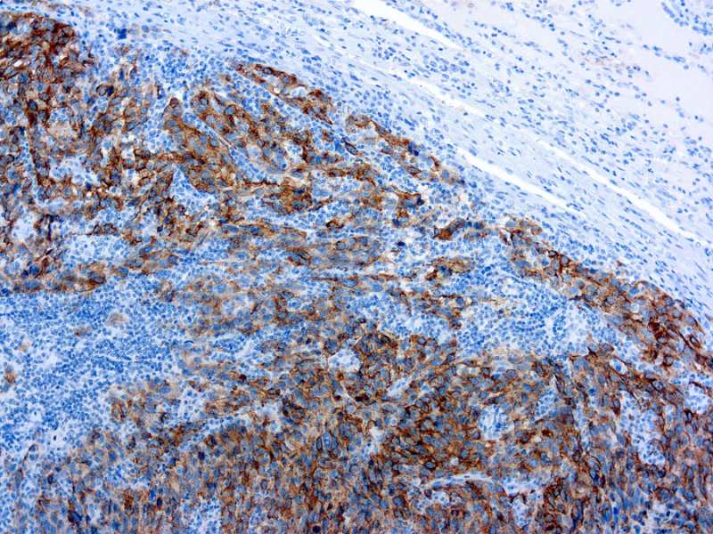
Melanoma
Code : MOB079
CE IVD

This antibody reacts with a neuraminidase sensitive oligosaccharide side chain of a glycoconjugate present in immature melanosomes. It reacts with junctional and blue nevus cells. Non-melanocytic cells are negative.

1ml
Clone HMB45
Isotype IgG1
Application IHC
La documentación estará disponible en breve, mientras tanto, puede contactarnos por correo electrónico a specialist@histoline.com