Producto

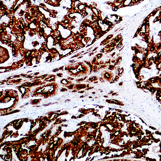
Prostate Specific Membrane Antigen (PSMA)
Code : AC-0160
CE IVD

Prostate-specific membrane antigen (PSMA), also known as folate hydrolase 1(FOLH1), is a type II transmembrane glycoprotein belonging to the M28 peptidase family. PSMA has two enzymatic activities, one as a prostate-specific integral membrane folate hydrolase and the other as a carboxypeptidase Anti-PSMA labels normal prostate epithelial cells and prostate tumor cells. Although the expression of PSMA in neovasculature of a variety of solid tumors has been reported, PSMA expression is highly restricted to the prostate. It is a useful marker for prostate tumors. In prostate cancer, overexpression of PSMA is correlated with high tumor grade, non-diploid tumors, and advanced tumor stage. It can be used as an effective predictor for tumor progression in prostate cancer.

1 ml
Clone EP192
Application IHC
La documentación estará disponible en breve, mientras tanto, puede contactarnos por correo electrónico a specialist@histoline.com