Producto

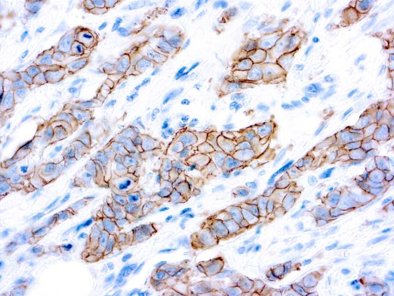
HER2/neu (c-erbB-2)
Code : RP006
CE IVD

This antibody reacts with the c-erbB-2 oncoprotein, a 190 kDa protein. The proto-oncogene for c-erbB-2 is located on the human chromosome 17, band 21. It has structural similarities to EGFR. Several studies have indicated that c-erbB-2 may be a good indicator of the prognosis of human carcinomas in the breast, ovary, uterus and gastrointestinal tract.

1ml
Clone Polyclonal Rabbit
Isotype n.a
Application IHC
La documentación estará disponible en breve, mientras tanto, puede contactarnos por correo electrónico a specialist@histoline.com