Producto

Chorionic Gonadotropin (hCG)
Code : PDR030
CE IVD

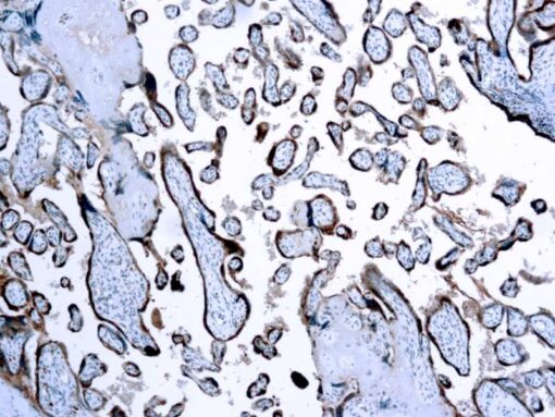
This antibody reacts with hCG. It stains strongly with the human placenta and placental trophoblasts.

6ml
Clone Rabbit
Isotype n.a
Application IHC
La documentación estará disponible en breve, mientras tanto, puede contactarnos por correo electrónico a specialist@histoline.com