Producto

Moh'S HRP-Green Kit
Code : K092-S
CE IVD

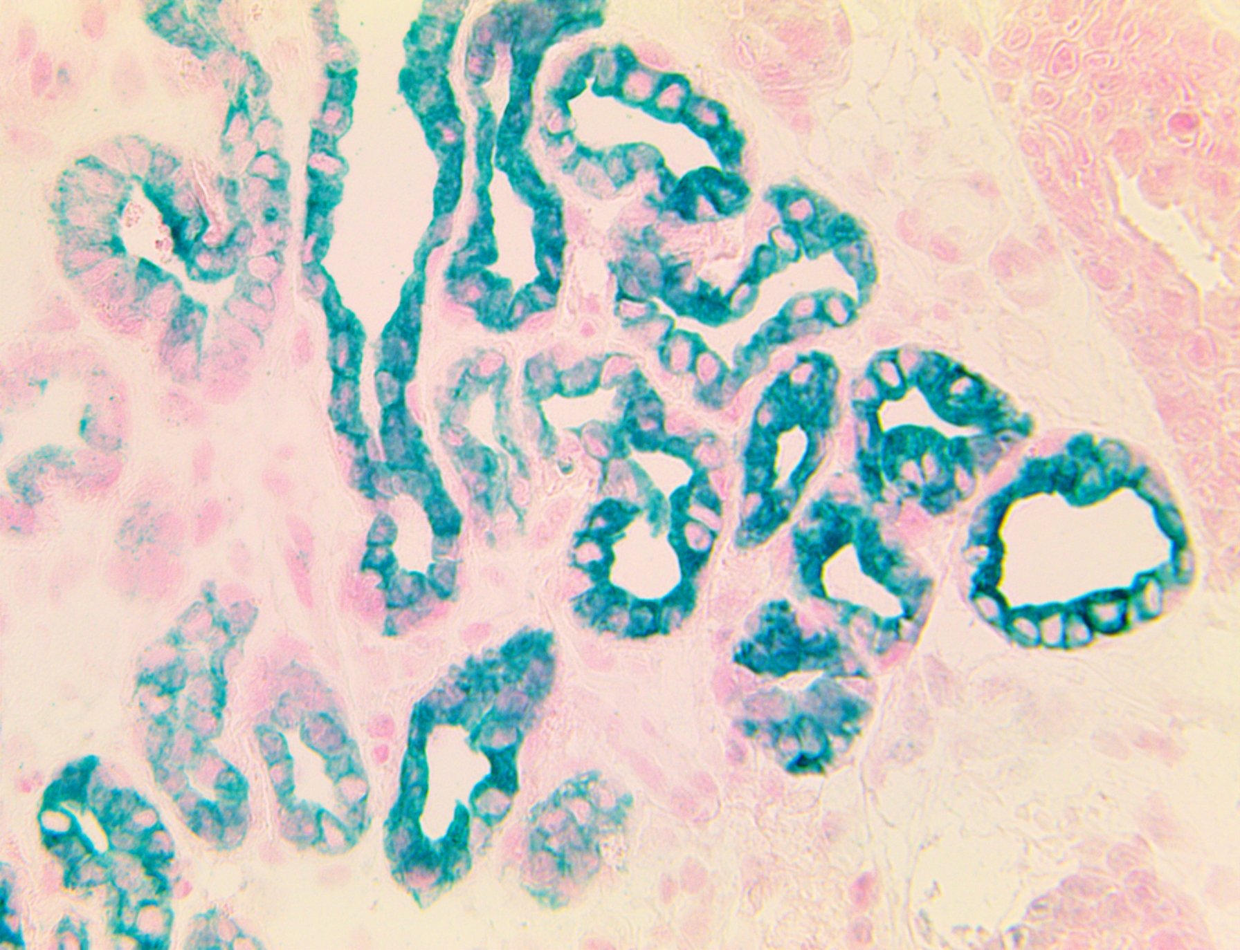
HRP-Green kit is designed for rapid IHC staining of frozen tissue sections and paraffin - embedded tissue sections. When the time to final results is critical, such as Mohs micrographic surgery, this Mohs HRP-Green Kit can provide reliable IHC results in less then 20 minutes specifically for frozen sections.

This Mohs HRP-Green kit utilizes a permeabilization pretreatment step in a microwave which improves staining considerably. 


Features

  • Improved accessability of antigens in frozen tissue sections
  • Green chromogen provides better contrast to endogenous melanin.
  • Rapid two-step immunohistochemistry protocol
  • Time to results in less then 20 minutes • Optimized for use with Ready to Use IHC antibodies. 
20 Tests
Application IHC
La documentación estará disponible en breve, mientras tanto, puede contactarnos por correo electrónico a specialist@histoline.com