Producto

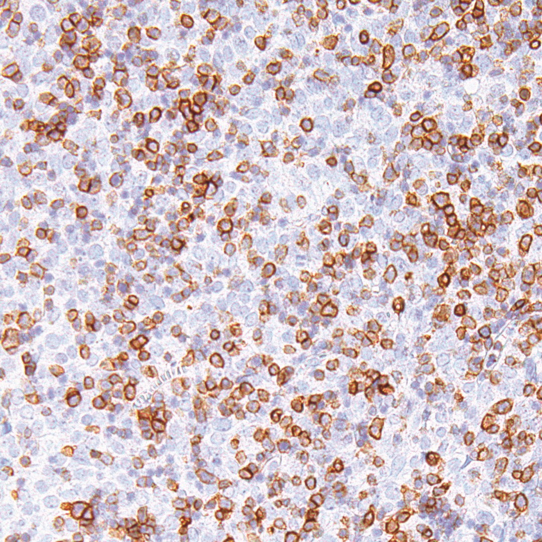
hENT1
Code : IHC595-1
CE IVD

The Human Equilibrative Nucleoside Transporter 1 (hENT1) mediates the cellular uptake of physiologic nucleosides, including adenosine, as well as many anti-cancer drugs including gemcitabine, cytarabine, and decitabine. Deficiency of hENT1 can lead to resistance of such drugs, and the abundance of hENT1 protein in the plasma membrane is a major indicator of the efficiency and clinical outcome of these anti-cancer nucleosides.

1 ml
Clone IHC595
Isotype IgG1
Application IHC
La documentación estará disponible en breve, mientras tanto, puede contactarnos por correo electrónico a specialist@histoline.com