Producto

Tricrómico de Masson-Goldner - kit
Code : 01MGT100T
CE IVD

Kit de siete reactivos para la tinción de fibras musculares y de colágeno 

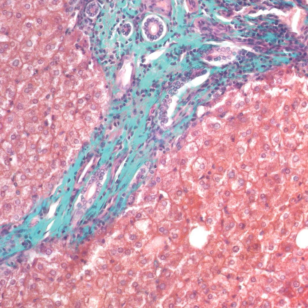
El Kit Tricrómico de Masson-Goldner se utiliza para la visualización de los músculos, las fibras de colágeno, los tejidos conectivos, los gametos, los núcleos, las neurofibrillas, la neuroglía, el colágeno, las fibrillas intracelulares de queratina y la visualización negativa del aparato de Golgi. Representa el método de tinción de fibras musculares y de colágeno en los tejidos durante el cual el colorante Fast Green F.C.F. se une al colágeno haciendo que se vuelva claramente verde. También se utiliza para visualizar el aumento de la acumulación de colágeno asociada al tejido en funcionamiento que se confunde con el tejido cicatricial (diagnóstico de esclerosis hepática), pero también para diferenciar las fibras musculares lisas y los colágenos.

Resultados 
Núcleos - azul-púrpura
Fibras musculares, queratina, citoplasma - rojo brillante
Colágeno, moco - verde
Eritrocitos - rojo-naranja

1 Kit - 100 Test
To access this information please login or subscribe