Producto

Luxol fast blue acc. Klüver Barrera - kit
Code : 01LFB100T
CE IVD

Kit de tinción con tres reactivos para la tinción de mielina y fosfolípidos 
 
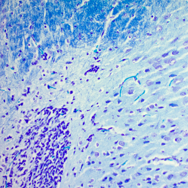
El Kit Luxol Fast Blue (según Kluewer-Barrera) se utiliza para detectar mielina y cuerpos de Nissl en secciones histológicas y para visualizar la estructura básica del tejido cerebral y de la médula espinal

Resultados 
Mielina - azul turquesa
Núcleos de neuronas y células de la glía - rosa a púrpura
Cuerpos de Nissl - rosa pálido

1 Kit - 100 Test
To access this information please login or subscribe