Producto

Hematoxilina de Cole
Code : 01HEMCO1000
CE IVD

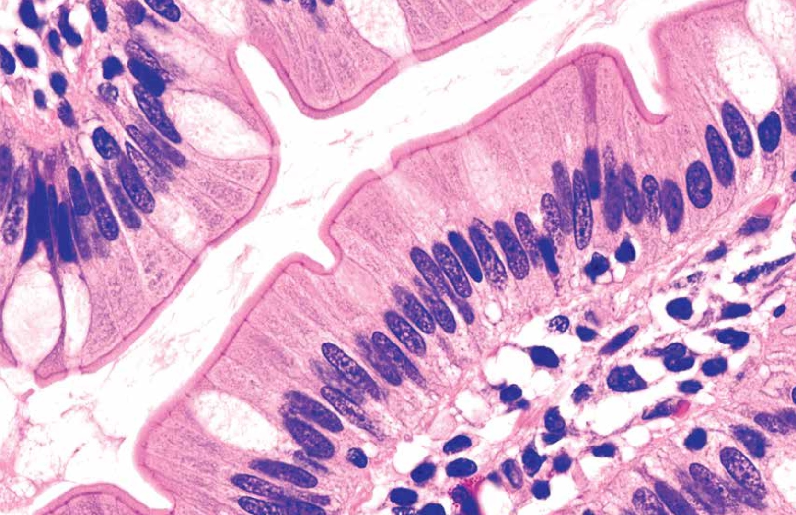
La Hematoxilina de COLE de la línea de Histo-Line, es una formulación de hematoxilina utilizada en histopatología para la tinción de células nucleares. Puede utilizarse en lugar de la Hematoxilina M (Hematoxilina de Mayer). A diferencia de la Hematoxilina M (utilizada sólo en el método de tinción progresiva), la Hematoxilina de COL se utiliza en los métodos de tinción progresiva y regresiva.

La hematoxilina se extrae de la madera de tronco (Haematoxylon campechianum L.); se oxida a hemateína y se une a iones metálicos (mordientes), la hemateína se convierte en color nuclear insustituible.

El complejo hemateína-mordante cargado positivamente se une entonces con los iones fosfato cargados negativamente del núcleo del ADN, creando la coloración azul característica. La Hematoxilina de COL modificada de Histo-Line se oxida con yodo y está lista para su uso inmediato.

1000 ml
To access this information please login or subscribe