Producto

Tricromía Azan - kit
Code : 01AZT100T
CE IVD

Kit de cinco reactivos para la tinción del tejido conectivo.

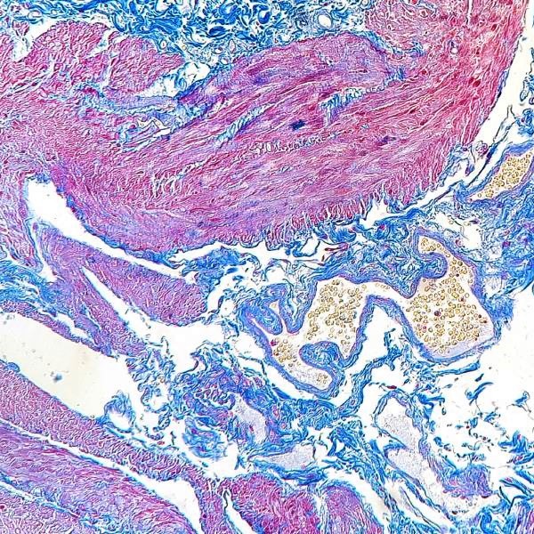
El kit de tricromía Azan es una modificación del kit Mallory Trichrome para la tinción del tejido conectivo. Se utiliza para visualizar los músculos, las fibras de colágeno, las células gliales, las células glomerulares, las cromatinas y los eritrocitos de una misma sección. El kit contiene dos colorantes ácidos: Azocarmina G y contratinción de Azul de Anilina. La Azocarmina G se utiliza en la fase inicial del procedimiento de tinción, y el Azul de Anilina se utiliza en la fase final, después de tratar la sección con ácido fosfomolíbdico. Para obtener resultados de tinción de alta calidad, es necesario teñir la sección con Azocarmina G, y luego diferenciarla progresivamente con solución alcohólica de anilina para permitir la contratinción de ciertas estructuras(como el colágeno) de la sección.

Resultados

Núcleos, eritrocitos, gránulos acidófilos de la hipófisis - rojo

Neurofibrillas (neuroglía) - tonos de rojo

Fibras musculares - de color rosa a rojo-rosado

Colágeno, reticulina, membranas celulares basófilas, estroma glomerular renal, membranas basales - azul a azul oscuro

Fibras elásticas -sin color

1 Kit - 100 Test
To access this information please login or subscribe